
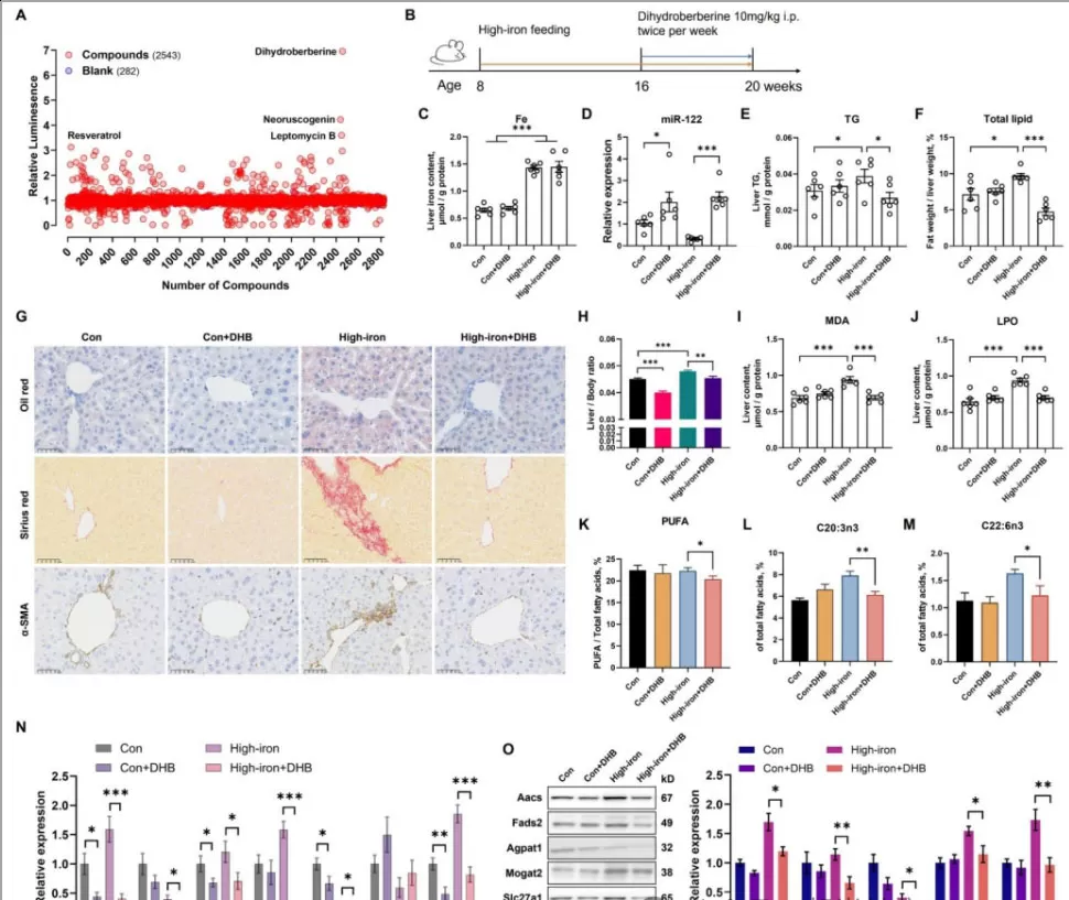
ملخص: في دراسة عالية الجودة نشرت في My صمم فريق بحث من قسم التغذية في الجامعة الطبية البحرية التابعة لجيش التحرير الشعب "نظام فحص" جديد-باستخدام نموذج مراسل لوسيفيريز "لمراقبة" نشاط ، أقرب إلى تركيب "ضوء إشارة" لـ ،. عندما يعزز المركب النشاط ، يضيء "ضوء الإشارة". في وقت لاحق ، أجروا فحصاً واسع النطاق عالي الإنتاجية للمركبات الطبيعية ، بفاعلية للبحث عن "الشركاء المثاليين".
بعد الفحص الدقيق ، ظهر ثنائي هيدروبربارين كمرشح بارز بين المركبات الطبيعية: فهو لا يحوي مستويات O بشكل كبير فحسب ، بل لا يظهر أيضًا سمية خلوية-مما يدل على كل من الفعالية والأمان.
في نموذج الفأر المحفز بنظام غذائي عالي الحديد من MASLD (مرض الكبد ستيتوتيك المرتبط بالخلل الأيضي) ، أظهر dihyroberine تأثيرات ملحوظة واقية من الكبد:
يستعيد المستويات: يعكس تقليل التحميل الزائد بالحديد لـ AC ، ويعيد تنشيط "منظم" الكبد بفعالية.
يحسن استقلاب الدهون: يقلل من الدهون الثلاثية الكبدية ومحتوى الدهون الكلي ، مما يؤدي إلى كبد "أنظف" بشكل واضح (يتضح من التلوين الأحمر بالزيت).
يمنع الضرر التأكسدي: يخفض مستويات علامات بيروكسيد الدهون (على سبيل المثال ، MDA ، LPO) ، يحمي أغشية خلايا الكبد من التدهور.
يخفف من إصابة الكبد والتليف: يقلل بشكل كبير من النبل والبست (علامات إصابة الكبد الرئيسية) ويخفف من تطور التليف الكبدي.

الشكل D: تنظيم الحمل الزائد للحديد تسبب في انخفاض حاد في التعبير ، في حين أن علاج DHB أعاده إلى مستويات شبه طبيعية.
الأرقام: تحسين التمثيل الغذائي للدهون-الدهون الثلاثية التي يسببها الحديد الزائد الكبد وتراكم الدهون الكلي ، والتي تم تخفيضها بعد إدارة DHB.
الأرقام: تخفيف الضرر التأكسدي-زيادة الحمل الزائد للحديد منتجات الأكسدة (MDA ، LPO ، إلخ) ، في حين انخفض علاج DHB بشكل كبير هذه العلامات.
الأرقام: استعادة توازن الأحماض الدهنية-علاج DHB عكس انحراف الحديد الناتج عن زيادة الوزن للأحماض الدهنية المتعددة غير المشبعة ونسب الأحماض الدهنية المفيدة المستعادة.
الأرقام: تنظيم البروتين-تسبب الحمل الزائد للحديد في تعطيل تعبير البروتينات المرتبطة بتكوين الشفاه ، والذي تم تطبيعه عن طريق تدخل DHB.
ومن بين المركبات التي تم فحصها ، لم يبرز ثنائي هيدروبررين (DHB) بالصدفة ، بل من خلال إظهار كل من أقوى وسيلة تنظيم وتوافق حيوي خلوي مثالي-وهو أساس حاسم للترجمة السريرية.
الحمل الزائد للحديد يدمر الكبد من خلال سلسلة محددة:
الحديد الزائد → تحطم → بروتين دهني غير منظم → تراكم الدهون الإجهاد التأكسدي → تفاقم أمراض الكبد.
DHB يقاطع هذه الحلقة المفرغة من خلال:
مكملات DHB ← الشفاء ← البروتينات الدهنية المكبوتة لترسب الدهون المخفف الضرر التأكسدي المخفف ← تبريد الكبد.
توضح الدراسة بشكل قاطع أن DHB:
Upregulates لإسكات الجينات الضارة (على سبيل المثال ، Aacs ، Fads2 ، CYPs) تولد الشفاه والأكسدة الدافعة
يكسر بشكل أساسي حلقة التغذية المرتدة "iron overload → abolic dysuction"
تقدم حركة مزدوجة-تنظيم التمثيل الغذائي وحماية الكبد-للسكان الذين يعانون من الحمل الزائد والحديد
من توضيح كيف يؤذي الحديد وأكسيد الحديد بشكل تآزري الكبد ، إلى تحديد DHB من خلال sc منهجييضيء هذا البحث طريقًا علاجيًا واعدًا للتدخل المسلي.
المراجع:
Yuxiao Tang 1, Zelong Gao et al. كسر الحساسية من الحمل الزائد للحديد ولإنقاذ تراكم الدهون والأكسدة في MASLD. الصيدلية resol. Ee قد: من.